当院での歯周病治療の考え方・方針を具体的にご紹介します。
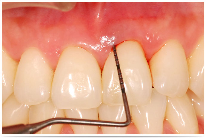
「ちょっとチクッとしますね」と言われて、何やら歯科器具で歯ぐきを「ツンツン」されたことはありませんか?
これは歯周ポケットを測定(ブローピング)し、歯周病の進行度合いをチェックする検査です。
歯周病治療では、まずこの検査をしなければどのような治療をすべきかの戦略が立てられません。
患者様に「このような経験(ツンツン)はありますか?」と聞くことがあるのですが、「ありません」「1度だけ経験したことがあります」というご返事をよく頂きます。つまり、多くの歯科医院ではこの検査をほとんどやっておらず、やったとしてもたまにやる程度だという事が分ります。
先ほどもお話ししたように、この検査は歯周病治療では避けて通れない検査であり、かつ、1度だけでなく定期的に行わなければならない検査です。この検査をしないという事は、羅針盤と海図をもたずに航海することと同じであり、現在どこまで歯周病が進行しているのか、そして、どのような治療をすればいいのかを考えずに治療を進めていることと同じです。歯周病の治療をする際、この検査をしっかりしてくれるか否かを歯科医院選びの1つの基準としてもよいと思います。
歯周病治療は他の治療と比べ、特に患者様のご協力が必要になる治療になります。
患者様にご協力して頂くためには「歯周病に対する理解」と「口腔内の現状理解」が必要です。
検査結果や写真・レントゲンと合わせ、分かりやすくご説明致します。お悩みも聴かせてくださいね。
歯科医院には「歯科衛生士」という国家資格を持った役職の人間が在籍しています。
歯科衛生士とは「歯周病治療」のプロです。当院には3人の歯科衛生士が在籍しております。
歯周病治療は、患者様、歯科衛生士、歯科医師が三位一体となって取り組んでいくものです。
他の治療もそうですが、特に歯周病治療は「全身管理」「計画的な管理」そして「患者様のライフスタイルへの精通」「信頼関係」を必要とする治療です。
毎回担当者が異なってしまうと患者様との信頼関係も築きにくく、担当者間の情報の抜け漏れが出ることで患者様にご迷惑をかけてしまう事もあります。
そうならないために、当院では患者様ごとに担当歯科衛生士を決め、治療を進めていきます。
歯周病治療をすると「歯が長くなってしまう」ということを聞いたことがあると思います。
実際、歯が長くなったように見えるのですが、これは「本来の健康な状態に戻った」と言った方が正確です。
歯周病が進行すると歯茎の骨がドンドン溶かされると共に、炎症を起こして歯肉が腫れあがります。
歯茎の骨が溶かされれば当然歯茎もドンドン下に下がっていき歯の根が露出してきて歯が長く見えてしまうのですが、炎症により歯肉が腫れあがりますので、外からは歯が長くなった状態を確認することができません。
しかし、歯周病治療で歯肉の炎症が治まり、本来の歯の姿が見えてくるというカラクリです。
「お口の健康は取り戻せたけど、見た目はなんとかならないの?」
治療を終えたから方良くこのような質問を受けます。
当院では「歯肉形成外科」という方法で、この「見た目」改善に取り組んでいます。簡単に説明しますと、上顎の歯茎から歯肉を取ってきて、見た目が悪い部分に移植するという方法です。
歯肉移植術は高度な技術を要しますのでどの医院でも行っている訳ではありません。
「お口の健康」と「美」を追求したい方、是非当院にご相談にいらしてください。
唾液1ml の中には1億~10 億個の細菌が棲んでいます。
その多くは体に害を与えない善玉菌ですが、歯周病などの原因となる悪玉菌も30
種類ほど存在しています。生活習慣病などが原因でこのバランスが崩れると悪玉菌が繁殖してくるので歯周病が起こりやすくなります。乳酸菌そのものを口腔内に増やすことで、悪玉菌を抑えて歯周病を改善する働きがあることがわかってきました。
当院ではこの乳酸菌を利用した治療を乳酸菌生産物質「メルソ」を利用して行っています。
お気軽にお問い合わせください。
歯周病は「あごの骨」を溶かしていき、最終的にはあごの骨が歯を支えることができなくなり「歯が抜けてしまう」病気です。
重度歯周病の方(歯周病がかなり進行した状態)ですと、歯がグラグラし、今にも抜けそうな状態になります。
このような状態の場合、どのような処置をするのか?
ここで骨再生治療が登場します。
要は溶けて減ってしまった顎の骨を再生させ、歯が抜け落ちてしまう事を防止する治療だと思って頂ければと思います。
当院では、「エムドゲイン法」という骨再生治療を行っております。
【 エムドゲイン法 】
エムドゲイン法を簡単にご説明しますと、エムドゲインゲルという薬を患部に塗ることで、本来備わっている骨の再生能力を発揮させる療法です。
この治療法では、エムドゲインゲルという薬剤を使用するため、身体への安全性について患者様からご質問されますが、身体への悪影響はありませんのでご安心ください。
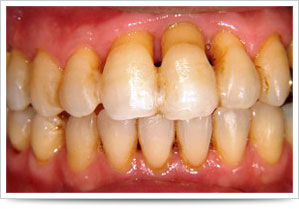
さて皆さん、こんな症状はありませんか?
これは歯周病の典型的な症状です。
歯周病は、成人の方の約8割が罹患しているという統計があります。
そして、虫歯と異なり歯周病は痛みもなく進行していきますので、気付いた時にはもう手遅れ(抜歯)ということが多い病気です。
この痛みがない、つまり自覚症状がなく進んでしまうのが歯周病の厄介なところです。
皆様には「歯周病」というものが存在し、成人のほとんどの方が罹患しており、痛みがなく進行してしまい、最終的には歯を失ってしまう「病(やまい)」であることをまず理解して頂きたいです。「早め」にそして「定期的」に適切な処置をしてくれる歯科医院に来院することで、歯周病の進行を止め、そして完治させることができます。
次に「コラム」と題して、歯周病が「病(やまい)」たる所以をお伝えします。
あまり知られていない事ですが、歯周病はお口の中だけではなく、全身疾患との関連性もあります。
関連性が報告されているものとして次のものがあります。
歯周病との関連でよく言われるのが、「糖尿病」「心臓病」「早産」です。
- 糖尿病との関連
- 重度の歯周病の場合、軽度の人に比べ2年後に糖尿病が悪化している率が5倍高くなります。
- 心臓病との関連
- 歯周病菌の作りだす物質が血液中に流れ動脈硬化を起こすのではないかと考えられており、心筋梗塞や狭心症を引き起こす原因となります。
健康な人に比べ心臓病発症の危険率が2.8倍といわれています。 - 早産・低体重児との関連
- 低体重児を出産した母親の方が歯周病が進行していたという報告があります。
また、妊娠中の歯周病をそのままにしておくと早産の確率が高まります。
他にも「ガン」「肺炎」「脳卒中」などとの関連性が指摘されています。
研究が進み、今や歯周病は、お口の中だけの病気ではないというのが専門家の共通認識です。「歯周病=歯を失う」という認識ではなく「歯周病=命にかかわる場合もある」という認識の転換が必要です。
なんだか怖いお話しになってきましたが、しっかり検査・治療をしてくれる歯科医院をかかりつけ医院とすればそれほど恐れる病気ではありません。
信頼できる医院をあなたの目で見極めて下さい。
当院は、自信があります。





